80 Times The Human Body Surprised And Horrified Medical Professionals

Why are some of us so compelled to stare at unsettling photos and videos of things that we’d prefer not to see in real life? A bloody scene from Grey’s Anatomy, or a putrid peek at Dr. Pimple Popper squeezing pus-filled blemishes. It’s like we can’t help ourselves, even if our stomachs are churning.

Some scientists believe it’s because viewing such content from a safe distance allows us to be both disgusted and curious at the same time. Both are evolutionary feelings. And both can protect us. But more on that later…

First, we’re going to test your ability hold down your breakfast while scrolling through some rather unsettling medical images. From a really creepy-looking medical dummy, to an x-ray of a brain after a piece has been removed… We has put together a list of “look away but not quite yet” medical photographs shared by people online. Each image tells its own story, and all provide a window into a world that we wouldn’t ordinarily see.

#1 A Doctor’s Letter To United Heathcare For Denying Nausea Medication To A Child On Chemotherapy

Wondering why you can’t stop scrolling through this list even though a part of you is begging you not to? Don’t worry. You’re not alone… “People are often drawn to things that bother them,” says Alexander Skolnick, a psychologist who studies disgust.

Disgust is an important emotion. It’s meant to protect us. “We tend to feel it when there’s something harmful around,” explains Quartz. “We know snakes and some insects mean danger. Vomit means something made someone else sick. Poop carries diseases. When we see any of these, we naturally want to avoid them.”

#2 An Artist Is Doing A Really Cool Thing By Painting Baby’s Medical Helmets

#3 My Adhd Medication Came With A Fidget Toy

Meanwhile, curiosity calls on us to explore and learn more about the world. Including those things that can be harmful to us. Viewing unsettling or gross content allows us to feel disgust and curiosity together. Basically, we can be a bit disgusted, while still using the images or videos to protect ourselves in the future.

“I think it is about experiencing these things in safe ways,” Skolnick explains. “It’s gross, but it’s not you…it’s something you can turn off. You have power over it.”

#4 This Is The First Complete Nervous System Ever Dissected – 1887

Her name is Harriett and she was a maid employed at drexel university college of medicine, now the medical college of pennsylvania. She wished to dedicate her body to science.

#5 Ducklings Being Used In Medical Therapy, 1956

#6 I Had A Brain Tumor Removed, And Now I’m A Bit Absent Minded

Dr Val Curtis calls herself a ‘disgustologist.’ Yes, really. She’s the director of the Environmental Health Group at the London School of Hygiene and Tropical Medicine. And says that disgust is specifically about things that might make us sick.

“You might dislike the taste of cheese, but it’s not going to necessarily make you sick,” explains Curtis. “You might be disgusted by the sight of a cockroach sitting on that plate of cheese – because the cockroach has probably come out of the toilet and is carrying pathogens on its feet.”

#7 Fish Skin Is Being Used To Help Treat Burn Victims

This treatment for severe burns is an unorthodox procedure they can ease the pain of victims and cut medical costs. The skin substitute reduces inflammation and help to heal chronic wounds (E.G. Diabetic wounds).

#8 These Medical Cloves Designed For Medical Emergency Response

#9 Medical Chest I Found In My Grandfathers Attic

A long time ago, our ancestors relied on disgust to survive. Feeling disgusted helped them avoid harmful bacteria in rotting food, toxic water, waste and dead animals.

“Humans with a strong sense of disgust not only stayed healthier, but would have been seen as a more attractive mate and passed on those ‘disgust genes’ to their offspring,” BBC reports.

“Those who had a ‘healthy squeamishness’ would have gone on to have more children and practised good hygiene, and that would have protected their children,” explains Curtis. “Those who didn’t have that squeamishness would have simply died out.”

#10 This White “Soap” Is The First 3D Printed Bionic Pancreas

#11 Perfectly Lined Up Sternotomy Sealing, The Surgeon Is Amazing

#12 An Identity Thief Stole The Identity Of A Surgeon And While Aboard A Navy Destroyer Was Tasked With Performing Several Life Saving Surgeries

He proceeded to memorize a medical textbook just before hand and all the patients survived.

Disgust comes with a physiological reaction. And there are steps to feeling disgusted… The first is paying attention. The gross thing makes you stop what you’re doing and check it out, without getting too close.

Next, you might squirming or sweat. “Your palms go clammy, your hands go up and you stay away from touching the thing – or dropping it if you ignored step one,” Curtis told the BBC.

#13 Uncle’s Eye Healed After Corneal Transplant Surgery

#14 A Doctor’s Office On My Delivery Route Has A Real Ww1 Medical Kit Framed Up On The Wall

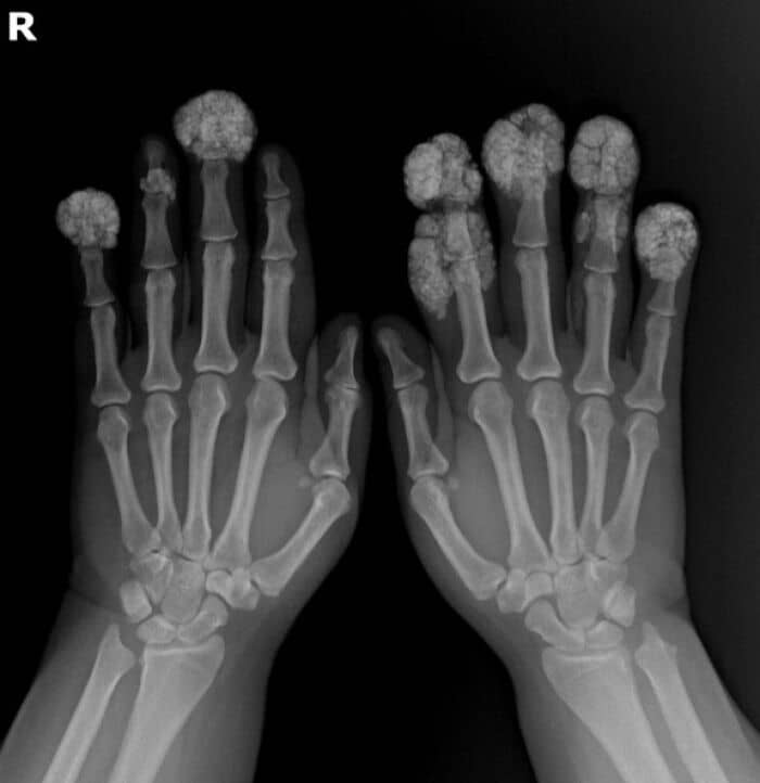
#15 X-Ray Of A Hand With Advanced Rheumatoid Arthiritis

You could very well pulling a face. Perhaps you stick out your tongue out or close your mouth up tight. “Your tongue is simulating pushing the thing out of your mouth and keeping it out, just in case,” explains the BBC.

The final step, which many of us have experienced, is gagging. “Especially if it’s a food-related disgust response, your stomach starts to churn to discourage you from ingesting it, and prepare you to throw up in the event you did,” reads the site.

#16 The Amount Of Medication I Have To Take In A Week After A Kidney Transplant

#17 Testing Davinci Surgical Robot On Operation Game

#18 Thought You All Might Appreciate My Uncommon Stitches

#19 This Device To Help Medical Professionals Find Veins. The Veinviewer

#20 Before & After A Total Spinal Fusion

#21 Obsidian Knives Made From A Type Of Volcanic Glass Are So Sharp They Cut On A Cellular Level

Due to this, when used in the medical field, incisions made with the blade heal faster with less scarring. They have been used as tools since the stone age.

#22 In My Head, The Screws From My Spinal Fusion Surgery Looked A Lot Smaller

#23 This Condition Is Called Mirror Hand Syndrome, Less Than 100 Cases Have Ever Been Diagnosed And The Cause Is Still Unknown

#24 The Monthly Dosage Of Medication Necessary For My Survival

#25 This Is A UV Light Used In Hospitals To Decontaminate Rooms That Were Occupied By Patients With Particularly Resistant Bacteria Or Bugs

#26 My (Nearly 60 Y/O) Fathers Arm After Being Thwomped By A Cow This Morning

#27 The Medical Pathology Museum At Tokyo University Has A Collection Of 105 Full-Bodied Tattoo Skins

#28 There’s A Tooth In My Chin

#29 My Grandmother’s Student Medical Kit From 1925

#30 Finger Infected. Thermal Imaging Confirms

#31 Asteroid Hyalosis Is A Medical Condition In Which The Person’s Eyes Look Like The Universe

#32 The Body Of A Gymnast While Preforming A Trick

#33 Atlantic Horseshoe Crabs Have A Milky Blue Blood. Each Year, Millions Of Crabs Are Captured, Bled And Released

The blood is used in almost all pharmaceutical vaccines, one of which being a Covid-19 vaccine.

#34 Strands Of DNA Precipitated By Ethanol. About 3 Trillion Of Them

#35 Patient Got Bit By A Stray Dog, And This Is His Rabies Vaccine And Immune Globulin Set Up

#36 My Dog And I Are Taking The Same Medication

#37 Doctors Find 27 Contact Lenses Stuck In 67-Year-Old Woman’s Eye

#38 My Sister Teaches Nursing Students How To Do Medical Procedures. Here Is One Of Their Practice Dummies

#39 Münchmeyer Disease Is A Disorder In Which Muscle Tissue And Connective Tissue Such As Tendons And Ligaments Are Gradually Replaced By Bone

It is the only known medical condition where one organ system changes into another.

#40 Went To Get A Scan For Practicing Medical Students (I Was A Volunteer Modle)

Didn’t Expect To See I Have A Condition Where My Hearts Artery And Vein Has Been Flipped To The Opposite Sides Of Each Other At Birth, Which Is Apparently Rare.

#41 Scleroderma Hands Manifestations

#42 In Certain Cultures, Wounds Were Sutured Using Ants, Especially Army Or Leaf-Cutter Species

These ants would be positioned to clamp the skin edges with their jaws. Once they bit down, the body of the ant would be cut off, leaving the head to act as a stitch.

#43 Just Cleanly Removed The Entire Nerve From My Patient’s Tooth (On Purpose)

#44 Triphalangeal Thumb (TPT) Is A Congenitalmalformation Where The Thumb Has Three Phalanges Instead Of Two

The extra phalangeal bone can vary in size from that of a small pebble to a size comparable to the phalanges in non-thumb digits.

#45 My Cat’s Medication Says Not To Drink Alcohol With It

#46 This Medication Causes Birth Defects And They Don’t Want You To Forget

#47 One Of Four Intact Human Nervous Systems, This Was Dissected By 2 Medical Students In 1925 — And It Took Them Over 1,500 Hours To Remove

#48 Bungee Cord To The Eye Caused Man’s Iris To Collapse Into Multiple Deformed Pupils

#49 As Photography Became More Common, An Odd Tradition Emerged — Medical Students Taking Pictures With Their Cadavers As Sort Of A First Portrait Into The Medical Field

A common trope at the time was that of “A Student’s Dream” — where the medical student was being dissected by his cadavers.

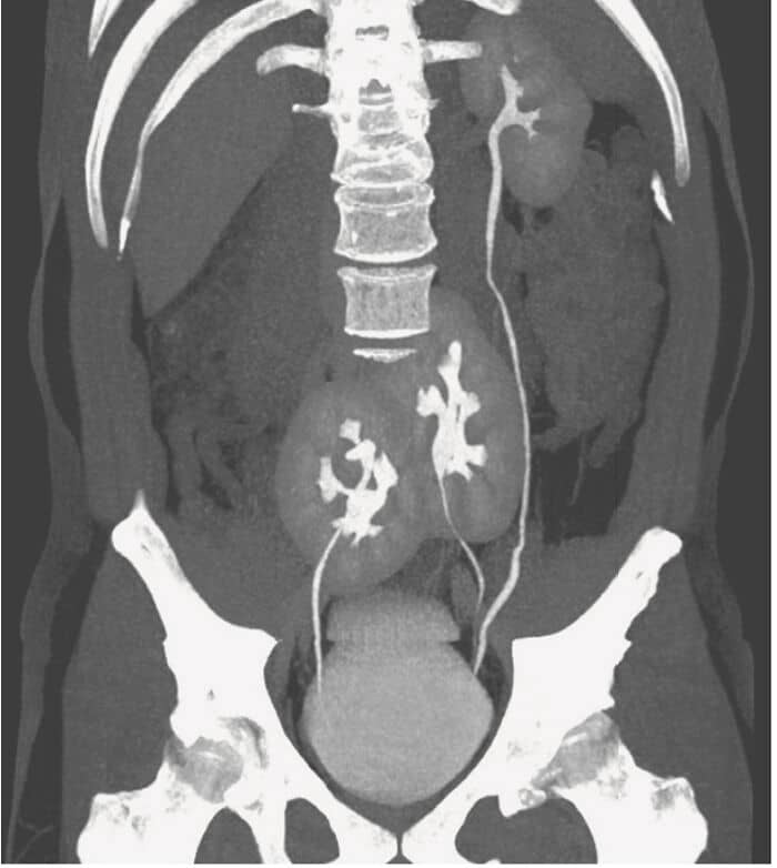
#50 Three Kidneys Discovered In A Man! – Medical Case

#51 Specialist Dentist Said I Had Some Of The Longest Teeth He’s Ever Removed

#52 WW1 Canadian Battlefield Medical Kit

#53 An X-Ray Of A Hand With Six Fingers

#54 Dupuytren’s Contracture Symptoms

Dupuytren contracture is a painless condition that causes one or more fingers to bend toward the palm of the hand. The affected fingers can’t straighten completely. Knots of tissue form under the skin. They eventually create a thick cord that can pull the fingers into a bent position.

#55 Stingray Tail, Extracted From Patient After Accident, Nz

#56 A Peanut Lodged Inside A Child’s Trachea

#57 Sterile #2 Pencils In The Operating Room

#58 My Friend’s Skin Graft After Healing

#59 My Dissection Kit For Working On Human Cadavers In Medical School

#60 Doctors From The Texas Heart Institute Have Performed A Surgery Implementing A Device That Left A Man Becoming The World’s First Heartless Human Leaving Him Without A Pulse Or Detectable Heart Beat

#61 $8,500 Worth Of Medical Equipment In The Us. My Son Needs These To Walk

#62 My Medication Is So Strictly Controlled That It Has A Battery Powered Tracking Tag

#63 This Is A Condition Called Hyperdontia

#64 My TPN (Nutrition Pumped Into My Heart) Has Olive Oil And Egg In It

#65 1915 Medical Text Classifying People With Mental Disabilities

#66 My Father Was An Eye Doctor And Those Are The Glass Eye Prosthesis He Would Show The Patients

#67 2 Hair Follicles Grown In Eye Caused By Limbal Dermoid

#68 Vintage Medical Tools For Removing Kidney And Bladder Stones And The Stones That They Removed

#69 This Medication I Take Is $6000 Per An Injection

#70 When My Son Was Born He Had A Knot In His Umbilical Cord

#71 Itemized Hospital Bill From When My Dad Was Born In 1954

#72 The Colors Of Disposable Lab Coats Available From The Supplier My Hospital Uses

#73 Dentists Of 1950 Starter Kit: (Actually Part Of My Antique Medical Equipment Collection)

#74 In The United States, This Is What $14,714.49 Of Medication Looks Like

#75 An Incredible Medical Projector

#76 Neovascular Festoons On The Iris

A 74-year-old man with hypertension presented with vision reduced to only light perception in his right eye. A relative afferent pupillary defect was observed, and retinal examination showed an occlusion of the central retinal vein. The abnormal pupillary response was caused by retinal ischemia. A hypoperfused retina exudes angiogenic factors such as vascular endothelial growth factor (VEGF). New vessels formed on the pupil (Panels A and B show low and high magnification, respectively) and also in the angle, the aqueous drainage system that surrounds the iris. Angiogenesis in the angle can occlude the drainage pathway, causing glaucoma and the complication of a painful, sightless eye. Regression of iris neovasculature was achieved with the use of intravitreal anti-VEGF therapy and maintained with the use of scatter laser photocoagulation of the ischemic retina. The patient’s vision in the affected eye remained unchanged, and hypertension was the risk factor associated with this ocular vascular occlusion. Owing to the severity of disease at baseline, there was no visual improvement.

#77 My Medicine Tells Me That It Doesn’t Work

#78 To Study The Medical Effects Of Weightlessness In Space, Scientists Convinced Captain Druey P. Parks To Toss A Kitten In The Air While Cruising In His F-94c Jet At An Altitude Of 25,000 Feet

The following photo, taken in February 1958, captures the floating feline.

#79 Veneers Preparation

#80 Dandy-Walker Syndrome

It is a condition that develops due to congenital failure of cerebellar vermis development that leads to blockage of CSF circulation. Clinical features include bulging fontanelle, irritability, vomiting ,poor feeding and lethargy.